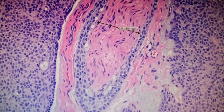
Dermatologists study pathology to diagnose and treat tumors. In this image, an aggressive basal cell carcinoma invades a nerve.
You are leaving Health.mil
The appearance of hyperlinks does not constitute endorsement by the Department of Defense of non-U.S. Government sites or the information, products, or services contained therein. Although the Defense Health Agency may or may not use these sites as additional distribution channels for Department of Defense information, it does not exercise editorial control over all of the information that you may find at these locations. Such links are provided consistent with the stated purpose of this website.
You are leaving Health.mil
View the external links disclaimer.
Last Updated: July 18, 2024